Atuando em cirurgia e implantodontia há mais de 20 anos, a integração com a prótese foi um processo natural e necessário. Logo, a paixão pela estética surgiu como uma forma de exteriorizar minha realização profissional, a satisfação de um projeto reconhecido. Sempre mantendo meus princípios, acompanho meus pacientes integralmente, agindo em todas as circunstâncias para melhor resolver a peculiaridade de cada caso. E manter-me atualizado sempre foi uma exigência e uma prioridade. Em meu convívio com os mais variados experts durante cursos e congressos tive o privilégio de me associar a profissionais extremamente qualificados, que me oferecem suporte nas diferentes áreas, integrando de forma singular e multidisciplinar a nossa equipe.

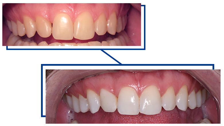
Um recurso pra lá de sofisticado, com características imbatíveis entre os materiais odontológicos. Utilizado para revestir parcialmente ou totalmente os dentes promovendo as tão desejadas modificações de cor, textura e formato. Funciona como uma segunda camada de proteção sobre o esmalte dentário com um nível de adaptação incrível. Sua estabilidade sobre os dentes é garantida por um sistema adesivo de alta potência (um dos adesivos mais fortes já criados pelo homem). Livre de metais, as cerâmicas usinadas se tornaram um dos materiais mais estudados e que mais evoluíram nos últimos anos devido a sua estabilidade estética e resistência incomparável. Não muda de cor com o tempo, não mancha (resistente a corantes alimentícios), não perde o brilho, não demanda manutenção periódica (apenas as limpezas odontológicas de rotina para manter a saúde periodontal) e apresenta alta durabilidade.

Um recurso pra lá de sofisticado, com características imbatíveis entre os materiais odontológicos. Utilizado para revestir parcialmente ou totalmente os dentes promovendo as tão desejadas modificações de cor, textura e formato. Funciona como uma segunda camada de proteção sobre o esmalte dentário com um nível de adaptação incrível. Sua estabilidade sobre os dentes é garantida por um sistema adesivo de alta potência (um dos adesivos mais fortes já criados pelo homem). Livre de metais, as cerâmicas usinadas se tornaram um dos materiais mais estudados e que mais evoluíram nos últimos anos devido a sua estabilidade estética e resistência incomparável. Não muda de cor com o tempo, não mancha (resistente a corantes alimentícios), não perde o brilho, não demanda manutenção periódica (apenas as limpezas odontológicas de rotina para manter a saúde periodontal) e apresenta alta durabilidade.
Nos últimos anos a odontologia deixou pra trás processos praticamente medievais como a fundição de pivôs metálicos e passou para as high-tech coroas usinadas em cerâmica sobre pinos de reforço estético em fibra de vidro. Foi um salto impressionante e as vantagens são visíveis, tanto em coroas unitárias quanto em reabilitações totais (protocolos). Hoje é possível deixar de lado as antigas, desajeitadas e nauseantes moldagens clínicas e fazer o escaneamento 3D da boca. Muito mais precisas, as imagens tridimensionais podem ser trabalhadas virtualmente em softwares para planejamento e impressas em alta definição em modelos de alta resistência ou podem ser usinadas diretamente a partir de blocos cerâmicos para confecção de coroas e lentes de contato.


Nos últimos anos a odontologia deixou pra trás processos praticamente medievais como a fundição de pivôs metálicos e passou para as high-tech coroas usinadas em cerâmica sobre pinos de reforço estético em fibra de vidro. Foi um salto impressionante e as vantagens são visíveis, tanto em coroas unitárias quanto em reabilitações totais (protocolos). Hoje é possível deixar de lado as antigas, desajeitadas e nauseantes moldagens clínicas e fazer o escaneamento 3D da boca. Muito mais precisas, as imagens tridimensionais podem ser trabalhadas virtualmente em softwares para planejamento e impressas em alta definição em modelos de alta resistência ou podem ser usinadas diretamente a partir de blocos cerâmicos para confecção de coroas e lentes de contato.

Nunca é, nem nunca será uma boa notícia a perda de um dente, mas a evolução dos implantes veio para tranquilizar e oferecer uma segunda chance para quando esse dia chegar. Uma técnica mais do que consagrada na odontologia e que apresenta uma das maiores diversidades de modelos e fabricantes, o que, de certa forma, dificulta sua compreensão. Venho acompanhando de perto nos últimos anos a evolução desta indústria e me certificando de sempre trabalhar com o que há de melhor. Mas é preciso realmente entender e estudar este mundo do implante para compreender que o melhor nem sempre é o mais popular, o mais famoso e o de maior valor, mas sim aquele que apresenta melhor resultado clínico e durabilidade. Um ponto forte dos novos implantes é sua confiabilidade e dimensões. Hoje os implantes que usamos apresentam quase metade do tamanho dos antigos, mas com o dobro da resistência, qualidade e durabilidade. Muitos casos que antigamente seriam considerados para enxerto ósseo devido ao pouco osso remanescente, hoje recebem implantes diretos com altíssima qualidade graças a esse avanço.

Se o assunto for dente do siso, já tenho minha opinião mais do que formada. Sim! Se você tem 14 anos de idade ou mais, o seu siso tem indicação de ser extraído em 99% dos casos!! E tem mais, quanto mais novo você fizer o procedimento, melhor será o resultado! Mesmo porque a maioria dos problemas relacionados aos sisos tem origem infecciosa, ou seja, tirar o siso antes dele erupcionar (“nascer”) é sim uma baita vantagem! Nesse momento ainda sem contaminações, com a raiz ainda não formada (pequeno) e com a gengiva saudável o procedimento se torna simples e a cicatrização super rápida, mas o cenário vai mudando com a idade. E mesmo nas demais cirurgias bucais, deve-se considerar a técnica e a experiência profissional, bem como os equipamentos e recursos utilizados, afinal estamos realizando um procedimento cirúrgico em uma região já bastante delicada e cheia de bactérias, a boca.

Se o assunto for dente do siso, já tenho minha opinião mais do que formada. Sim! Se você tem 14 anos de idade ou mais, o seu siso tem indicação de ser extraído em 99% dos casos!! E tem mais, quanto mais novo você fizer o procedimento, melhor será o resultado! Mesmo porque a maioria dos problemas relacionados aos sisos tem origem infecciosa, ou seja, tirar o siso antes dele erupcionar (“nascer”) é sim uma baita vantagem! Nesse momento ainda sem contaminações, com a raiz ainda não formada (pequeno) e com a gengiva saudável o procedimento se torna simples e a cicatrização super rápida, mas o cenário vai mudando com a idade. E mesmo nas demais cirurgias bucais, deve-se considerar a técnica e a experiência profissional, bem como os equipamentos e recursos utilizados, afinal estamos realizando um procedimento cirúrgico em uma região já bastante delicada e cheia de bactérias, a boca.
Nunca é, nem nunca será uma boa notícia a perda de um dente, mas a evolução dos implantes veio para tranquilizar e oferecer uma segunda chance para quando esse dia chegar. Uma técnica mais do que consagrada na odontologia e que apresenta uma das maiores diversidades de modelos e fabricantes, o que, de certa forma, dificulta sua compreensão. Venho acompanhando de perto nos últimos anos a evolução desta indústria e me certificando de sempre trabalhar com o que há de melhor. Mas é preciso realmente entender e estudar este mundo do implante para para compreender que o melhor nem sempre é o mais popular, o mais famoso e o de maior valor, mas sim aquele que apresenta melhor resultado clínico e durabilidade. Um ponto forte dos novos implantes é sua confiabilidade e dimensões. Hoje os implantes que usamos apresentam quase metade do tamanho dos antigos, mas com o dobro da resistência, qualidade e durabilidade. Muitos casos que antigamente seriam considerados para enxerto ósseo devido ao pouco osso remanescente, hoje recebem implantes diretos com altíssima qualidade graças a esse avanço.


As famosas “limpezas” não são todas iguais não! Promover uma adequação da superfície dos dentes e uma gengiva saudável depende de materiais e equipamentos extremamente precisos e confiáveis, senão um procedimento de rotina pode não resolver nada ou simplesmente se tornar um pesadelo. Nossos dentes são muito preciosos, por isso batemos tanto nessa tecla e investimos tanto em prevenção. Uma das queixas mais frequentes que recebo em meu consultório é de dentes escuros ou amarelados. Nesse caso é importante compreender a origem deste escurecimento e abordar todos os aspectos possíveis para atingir o resultado esperado. A origem pode ser escurecimento superficial devido ao acúmulo de resíduos (tártaro, placa bacteriana, manchamentos de tabaco, café…), escurecimento de restaurações em resina ou amalgamas muito antigas, escurecimento interno devido ao tratamento de canal ou mesmo as características do próprio esmalte e dentina que apresentam uma coloração mais forte. Cada qual com com sua solução individual e específica.

As famosas “limpezas” não são todas iguais não! Promover uma adequação da superfície dos dentes e uma gengiva saudável depende de materiais e equipamentos extremamente precisos e confiáveis, senão um procedimento de rotina pode não resolver nada ou simplesmente se tornar um pesadelo. Nossos dentes são muito preciosos, por isso batemos tanto nessa tecla e investimos tanto em prevenção. Uma das queixas mais frequentes que recebo em meu consultório é de dentes escuros ou amarelados. Nesse caso é importante compreender a origem deste escurecimento e abordar todos os aspectos possíveis para atingir o resultado esperado. A origem pode ser escurecimento superficial devido ao acúmulo de resíduos (tártaro, placa bacteriana, manchamentos de tabaco, café…), escurecimento de restaurações em resina ou amalgamas muito antigas, escurecimento interno devido ao tratamento de canal ou mesmo as características do próprio esmalte e dentina que apresentam uma coloração mais forte. Cada qual com sua solução individual e específica.
As antigas “obturações”, hoje promovidas à procedimentos extremamente refinados e detalhados com intuito de preencher de forma natural e imperceptível pequenos defeitos dentários, sejam eles causados por cáries, fraturas ou deficiências estéticas. Indicado para pequenas correções e reparos estéticos e funcionais.


As antigas “obturações”, hoje promovidas à procedimentos extremamente refinados e detalhados com intuito de preencher de forma natural e imperceptível pequenos defeitos dentários, sejam eles causados por cáries, fraturas ou deficiências estéticas. Indicado para pequenas correções e reparos estéticos e funcionais.

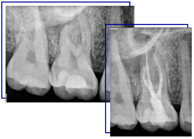
Já se foi a época em que um tratamento de canal era sinônimo de dor e sofrimento. Com a abordagem correta e os recursos atuais já se tornou rotina o tratamento endodôntico em sessão única, praticamente indolor e com resultados imediatos. E para tal, contamos com as mãos precisas e a minúcia do Dr. Alexandre Sigrist, nosso parceiro há mais de 6 anos.

Já se foi a época em que um tratamento de canal era sinônimo de dor e sofrimento. Com a abordagem correta e os recursos atuais já se tornou rotina o tratamento endodôntico em sessão única, praticamente indolor e com resultados imediatos. E para tal, contamos com as mãos precisas e a minúcia do Dr. Alexandre Sigrist, nosso parceiro há mais de 6 anos.
Tanto os aparelhos convencionais quanto os alinhadores invisíveis (Invisalign) chagaram à um nível de sofisticação impressionante. Quando lembramos da ortodontia de alguns anos atrás, logo vem à mente o sofrimento dos brackets cortando os lábios, as borrachinhas coloridas que mudavam de cor, o sorriso metálico, os “freios de burro”, os anos e anos para finalizar o tratamento. Mas isso não é mais a realidade da ortodontia atual pois o foco no conforto e no resultado transformou a antiga ortodontia em um tratamento muito mais pacífico e rápido. E não poderíamos estar mais felizes com nossas parcerias. As feras da ortodontia, Dra. Carmen Marion, Dra. Tatiana Paganelli e a Dra. Thamiris Bassotto.


Tanto os aparelhos convencionais quanto os alinhadores invisíveis (Invisalign) chagaram à um nível de sofisticação impressionante. Quando lembramos da ortodontia de alguns anos atrás, logo vem à mente o sofrimento dos brackets cortando os lábios, as borrachinhas coloridas que mudavam de cor, o sorriso metálico, os “freios de burro”, os anos e anos para finalizar o tratamento. Mas isso não é mais a realidade da ortodontia atual pois o foco no conforto e no resultado transformou a antiga ortodontia em um tratamento muito mais pacífico e rápido. E não poderíamos estar mais felizes com nossas parcerias. As feras da ortodontia, Dra. Carmen Marion, Dra. Tatiana Paganelli e a Dra. Thamiris Bassotto.

E é da prevenção da qual tanto falamos em nossas consultas que vem o assunto mais importante de todos: nossas crianças! Grande parte dos problemas odontológicos podem sim ser prevenidos se acompanhados desde a infância. E ninguém melhor que o Dr. Gabriel Politano e a Dra. Andrea Politano para cuidar de nossos pimpolhos.

E é da prevenção da qual tanto falamos em nossas consultas que vem o assunto mais importante de todos: nossas crianças! Grande parte dos problemas odontológicos podem sim ser prevenidos se acompanhados desde a infância. E ninguém melhor que o Dr. Gabriel Politano e a Dra. Andrea Politano para cuidar de nossos pimpolhos.
Todos as fotos são meramente ilustrativas e estão em conformidade com o que determina a legislação em vigor, esclarece publicamente o Dr. Felipe Coppini especialista em prótese dentária, inscrito no CRO/SP 79.538 responsável pelo presente caso que as informações em imagens utilizadas ilustram especificamente um caso deste paciente e suas características individuais, e não pode servir como referência de maneira genérica em face das particularidades envolvidas em cada tratamento e, principalmente por não ser a odontologia uma ciência exata. Código de defesa do consumidor, código brasileiro de alto-regulamentação publicitaria e resolução CFO-196/19.


Assim como um médico cirurgião realiza seus procedimentos em hospital cobrindo o corpo e deixando acesso apenas à região que está sendo operada, nós dentistas também fazemos uso desse recurso. O isolamento absoluto permite trabalhar a troca de restaurações sem que haja contaminação durante o processo e evitando a ingestão de bactérias e resíduos nocivos.

Assim como um médico cirurgião realiza seus procedimentos em hospital cobrindo o corpo e deixando acesso apenas à região que está sendo operada, nós dentistas também fazemos uso desse recurso. O isolamento absoluto permite trabalhar a troca de restaurações sem que haja contaminação durante o processo e evitando a ingestão de bactérias e resíduos nocivos.

Trabalhar com lupa e microscopia aumenta e muito a qualidade dos procedimentos e os resultados clínicos. Pequenos problemas encontram grandes soluções. O nível de exigência de adaptação dos trabalhos se elevam e muito, contribuindo também para o diagnóstico precoce e o trabalho preventivo das doenças bucais.

Trabalhar com lupa e microscopia aumenta e muito a qualidade dos procedimentos e os resultados clínicos. Pequenos problemas encontram grandes soluções. O nível de exigência de adaptação dos trabalhos se elevam e muito, contribuindo também para o diagnóstico precoce e o trabalho preventivo das doenças bucais.

Com imagem em alta resolução e instantânea, nosso equipamento oferece baixíssima exposição à radiação e muito mais conforto.

Com imagem em alta resolução e instantânea, nosso equipamento oferece baixíssima exposição à radiação e muito mais conforto.

Uma realidade que ainda parecia distante, mas que já está disponível e acessível em meu consultório, a odontologia digital veio para mudar os conceitos, acelerar os processos com muito mais conforto e precisão. O escaneamento 3D é um substituto das moldagens tradicionais, uma ferramenta muito mais adequada e ecológica, uma vez que não produz nenhum resíduo (silicones, alginatos e gesso). As próteses também pularam vários estágios manuais e hoje conseguem ser produzidas diretamente por um software (CAD-CAM) e usinadas diretamente em uma unidade de fresagem 3D diretamente em material cerâmico (menor necessidade de desgaste dentário, maior segurança e durabilidade para aplicação em boca e isento de metais nocivos à saúde). Uma outra vantagem do sistema é a velocidade de processamento, que pode ser feito no mesmo dia e já instalado em boca, sem demora, permite resultado imediato.

Uma realidade que ainda parecia distante, mas que já está disponível e acessível em meu consultório, a odontologia digital veio para mudar os conceitos, acelerar os processos com muito mais conforto e precisão. O escaneamento 3D é um substituto das moldagens tradicionais, uma ferramenta muito mais adequada e ecológica, uma vez que não produz nenhum resíduo (silicones, alginatos e gesso). As próteses também pularam vários estágios manuais e hoje conseguem ser produzidas diretamente por um software (CAD-CAM) e usinadas diretamente em uma unidade de fresagem 3D diretamente em material cerâmico (menor necessidade de desgaste dentário, maior segurança e durabilidade para aplicação em boca e isento de metais nocivos à saúde). Uma outra vantagem do sistema é a velocidade de processamento, que pode ser feito no mesmo dia e já instalado em boca, sem demora, permite resultado imediato.

Aquele trauma do barulhinho do motor já pode ser deixado de lado. Com os sistemas rotatórios elétricos o processo de desgaste dentário se tornou muito mais confiável, gerando menor risco de sensibilidade e conforto.

Aquele trauma do barulhinho do motor já pode ser deixado de lado. Com os sistemas rotatórios elétricos o processo de desgaste dentário se tornou muito mais confiável, gerando menor risco de sensibilidade e conforto.
